上海宇北医疗器械有限公司

9

手机商铺

qrcode
商家活跃:
产品热度:
  • NaN
  • 0.7000000000000002
  • 1.7000000000000002
  • 0.7000000000000002
  • 3.7

上海宇北医疗器械有限公司

入驻年限:9

  • 联系人:

    王先生

  • 所在地区:

    上海 闵行区

  • 业务范围:

    技术服务、实验室仪器 / 设备、ELISA 试剂盒、细胞库 / 细胞培养、试剂、医疗器械、体外诊断、书籍 / 软件、耗材

  • 经营模式:

    经销商 代理商

在线沟通

技术资料/正文

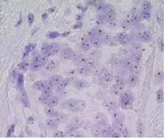
CISH技术概述

1108 人阅读发布时间:2020-02-20 16:12

CISH
或称原位显色杂交,
是一种用标记的互补DNA或RNA链在组织标本中定位特定DNA或RNA序列的过程。CISH方法学可用于评价基因扩增、基因缺失、染色体易位和染色体数目。CISH利用常规过氧化物酶或碱性磷酸酶反应,在标准的白光显微镜下观察,适用于福尔马林固定、石蜡包埋(FFPE)组织、血液或骨髓涂片、中期染色体扩散和固定细胞。


技术资料图片1
CISH 特点:
  • 观察组织形态同时评估基因状态
  • 使用明场显微镜和处理方法类似免疫组化
  • 定量结果

CISH与IHC 及FISH比较
技术资料图片2

 
资料格式:

CISH概述.docx

查看详细文档

上一篇

LCI活细胞培养系统PDF

下一篇

NanoSurface China.pdf

我的询价