预制受体蜡块-组织芯片工作的价值帮手
680 人阅读发布时间:2023-11-07 10:37
预制受体蜡块-组织芯片工作的价值帮手
组织芯片通过将几百件组织样本进行精确的微排列,以实现单个石蜡块包含数以百计的组织样本,大大提高生物学信息通量,并有效防止了系统实验误差,这在分子诊断、预后指标筛选、治疗靶点定位、抗体和药物筛选、基因和蛋白表达分析等领域意义重大。
传统组织芯片制作的一般流程:
S1-准备空白腊块,通过组织芯片仪进行空点制作
S2-事先已标记靶点的供体蜡块取得肉柱
S3-借助组织芯片仪将肉柱植入受体蜡块空点处
S4-制作完成的组织芯片蜡块40-58°C表面加热
S5-完成后冷冻库变硬
S6-组织芯片蜡块表面进行修片
S7-切片获取白片
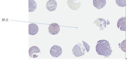
此处理方式带来的常见问题:
问题1:使用40-58°C加热时间过长或温度高过58度,就会产生肉柱倒塌、悬浮、肉柱无法有效融蜡的问题,导致最终切片时的折点、掉点。
问题2:常规白蜡制作的供体蜡块,在受到物理性的工具压力下,蜡块易破损、裂解,因此处理组织芯片的难度提高。导致后续需要多次修片,浪费珍贵的组织标本。

创新的商品化标准产品-预制受体蜡块,
解决上面制作组织芯片时的痛点,轻松上手且有效避免组织芯片蜡块处理的后续问题。
使用预制受体蜡块的步骤简单、高效:
S1- 通过芯片仪器直接从标记靶点的供体蜡块上取得肉柱
S2- 肉柱植入预制受体蜡块空点处
S3- 60度-80度蜡盘充分加热30分
S4- 完成后冷冻库变硬
S5- 组织芯片蜡块表面进行修片
S6- 切片获取白片
规避繁杂的前期制作受体蜡块同时接受高温范围长时间的融合
- 可长时间加热,打点时产生的肉柱自身解理面消失
- 预制受体蜡块没有内部气泡产生,规避折点、掉点
- 只做一次表面平整,不会做到5次,因此可以大量节省样品,可多切达50%TMA切片
- 标准化孔位设计,5种不同规格,满足日常组织芯片质控和快速应用
- 切片后成果,完整与整齐的组织芯片利于后续镜下观察和扫描